Skip Menu
Continue
  • 55 Indian Head Rd,
  • Kings Park, NY 11754

(Parking available in rear)

  • Home
  • About Us
    • Our Office
    • New Patients
    • Smile Gallery
    • Dental Videos
    • Testimonials
  • Meet Dr. Hanna
    • Dena Hanna, DDS
  • Services
      • Ceramic Crowns
      • Dental Bridges
      • Dental Fillings
      • Dentures
      • Digital Radiography
      • Emergency Treatment
      • Extractions
      • HealthyStart®
      • Implant Dentistry
      • Invisalign®
      • Night Guards
      • Dental Checkups & Oral Exams
      • Pediatric Dentistry
      • Periodontal Treatment
      • Preventive Program
      • Sedation Dentistry
      • Sports Mouthguards
      • Teeth Whitening
      • VELscope® Cancer Screening
      • Veneers
    • View All
  • Dental Health
  • Savings Club
  • Contact
  • Book Online

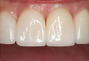
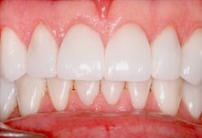
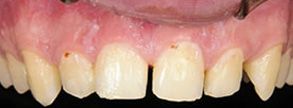
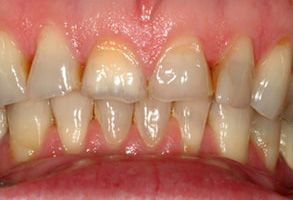
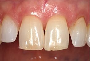
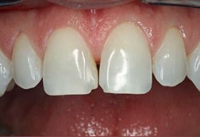
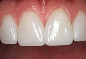
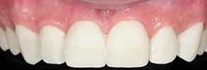
Smile Gallery

Additional Information

Our Location

55 Indian Head Rd
Kings Park, NY 11754
(631) 292-1023
Fax: (631) 269-5325 dhfamilydentistry@dihipaa.com

Follow Us